Należy zacząć od tego, że najprostsze organizmy pojawiły się bardzo dawno temu; uważani są za najstarszych mieszkańców planety. W ciągu swojego istnienia stały się niezwykle odporne na różne wyzwania. Potrafią przetrwać nawet w najbardziej niebezpiecznych warunkach.
Te mikroorganizmy wybrały dla siebie bardzo dogodny sposób życia - pasożytnictwo, szczególnie w organizmie człowieka. Jak wspomniano wcześniej, mikroorganizmy te są niezwykle „szkodliwe” i trwałe, dlatego czasami tak trudno się ich pozbyć.
Istnieje kilka rodzajów miejsc, w których „żyją” pasożyty. Do pierwszego typu zaliczamy mikroorganizmy endogenne, czyli takie, które znajdują się wewnątrz organizmu człowieka. Do drugiego typu zaliczają się pasożyty egzogenne, które chętnie „osiadają” na skórze i powodują różne choroby skóry.
Rodzaje pasożytów pierwotniakowych
Zasadniczo istnieją 4 rodzaje pasożytów, które „dobrze żyją” w organizmie człowieka.
Wiciowce
Należą do nich giardia i trypanosomy. Klasa ta jest reprezentatywna dla najstarszych przedstawicieli pasożytów. Otrzymali tę nazwę ze względu na narząd ich ruchu: wici. Rozmiar samych pasożytów jest po prostu mikroskopijny, mają stały kształt i rozmnażają się z reguły dzieląc się na dwie części.

Są bardzo niebezpieczne dla ludzi i zwierząt; jeśli dostaną się do ich ciał, wyrządzają wielkie szkody. Powodują także różne choroby. Takich jak amerykańska gorączka senna, leiszmanioza skórna i wiele innych. Mogą pasożytować w jelitach, krwi i skórze. W ten sposób negatywnie wpływa na zdrowie człowieka.
Sporozoany
Ten typ pasożyta-pierwotniaka ma bardzo złożoną ścieżkę rozwoju. W tej chwili wiadomo, że klasa obejmuje około 1400 gatunków. Wszyscy przedstawiciele „wybierają” pasożytniczy tryb życia i są niezwykle niebezpieczni dla ludzi i zwierząt. Rozmnażanie następuje poprzez podział komórek.

Najczęściej na „miejsce zamieszkania” wybierane są tkanki i narządy ludzkie lub zwierzęce. Gatunek ten powoduje wiele chorób. Na przykład takie jak malaria, toksoplazmoza.
Orzeski
Należą do nich balantydia. Istnieje około 7000 różnych gatunków. Narządami ruchu tych pasożytów są rzęski, których jest dużo.

Szczególną cechą tego typu jest obecność dwóch jąder. Mają stały kształt ciała i skorupy. Rozmnażanie następuje zwykle w wyniku podziału. Gatunek ten jest nie mniej niebezpieczny dla ludzi i zwierząt niż dwa poprzednie.
Sarkodowate
Należą do nich czerwonka ameby. Są najbardziej prymitywnymi ze wszystkich typów i klas. Istnieje około 10 000 różnych gatunków! Nie mają stałego kształtu ciała. Są pasożytami u ludzi i zwierząt.

Najczęściej do swoich zajęć wybierają układ pokarmowy. Z ich powodu u ludzi może wystąpić bardzo poważne zatrucie. W niektórych przypadkach śmierć jest częsta.
Typy te łączy wysoka odporność na różne „testy”. Przecież zarażona osoba nieustannie próbuje walczyć z pasożytami, ale nie zawsze to wychodzi, bo może oprzeć się wszelkim środkom.
Dlaczego są niebezpieczne, jakie choroby powodują?
Pasożyty pierwotniakowe są rzeczywiście bardzo niebezpieczne dla zdrowia człowieka. Mogą powodować różne choroby, które pociągają za sobą określone konsekwencje. W żadnym wypadku nie należy lekceważyć pasożytów pierwotniakowych, ponieważ mogą one znacząco zaszkodzić człowiekowi.
Choroby wywołane przez pasożyty pierwotniakowe:
Malaria
Choroba ta charakteryzuje się pewnymi zmianami. Czasami następuje ulga, następnie ulgę zastępuje nasilenie objawów. Główne objawy to ból głowy, gorączka, nudności, wymioty i drgawki.

Przez wiele lat chityna była uważana za najlepszy lek. Jednak zgony z powodu tej choroby zdarzają się najczęściej także tam, gdzie medycyna jest na niskim poziomie rozwinięta.
Amebiaza
Kolejna nie mniej niebezpieczna choroba, której konsekwencje mogą być również smutne. Czynnikiem sprawczym jest dyzenteria ameby.
Objawy zaczynają pojawiać się 7–10 dni po zakażeniu. Należą do nich ból głowy, ogólne złe samopoczucie, gorączka, a u niektórych osób może wystąpić rozstrój żołądka. Następują powikłania, które wyrażają się w problemach z wątrobą. Jeśli pacjent nie rozpocznie leczenia w terminie i nie skonsultuje się ze specjalistą, konsekwencje będą nieodwracalne.
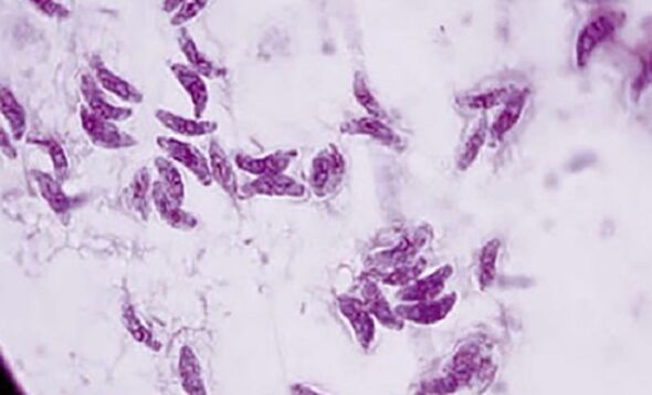
Toksoplazmoza
Czynnikiem sprawczym choroby jest Toxoplasma gondii. Objawy tej choroby obejmują uszkodzenie oczu, cierpi układ nerwowy, a także układ sercowo-naczyniowy. Bardzo często infekcja początkowo nie jest niczym niezwykłym i mija jak zwykłe przeziębienie.

Zakażenie w czasie ciąży jest bardzo niebezpieczne. Nawet jeśli dziecko przeżyje, najprawdopodobniej będzie to wiązało się z powikłaniami i uszkodzeniem oczu lub układu nerwowego. Dlatego nawet przy pierwszych objawach konieczna jest konsultacja z lekarzem.
Balantydioza
Spowodowane przez mikroorganizm, taki jak balantidia. Objawy tej choroby obejmują ból brzucha i niestrawność. W niektórych przypadkach możliwa jest również wysoka gorączka i zatrucie organizmu.
Leiszmanioza
Czynnikiem sprawczym tej choroby jest leiszmania. W przypadku objawów skórnych i śluzówkowo-skórnych pojawiają się owrzodzenia. W przypadku objawów śluzówkowo-skórnych często może wystąpić obrzęk. Ponieważ choroby te są związane z drogami oddechowymi, może dojść do zgonów.
Leiszmanioza występuje głównie w gorących krajach. Choroba ta jest dość powszechna i występuje w 87 krajach.
Jak widać, pierwotniaki pasożytnicze są niezwykle niebezpieczne dla zdrowia człowieka, pomimo prostej budowy mikroorganizmów. Mogą powodować nieodwracalne szkody dla organizmu ludzkiego, a także prowadzić do pewnych konsekwencji i powikłań.
Jak są przekazywane?
Istnieją 4 najczęstsze metody infekcji:
- Kontakt - gospodarstwo domowe. Ten typ występuje z powodu naruszenia środków sanitarnych lub zasad higieny. Zakażenie może nastąpić w wyniku różnych działań: korzystania z rzeczy innych osób, zwłaszcza środków higieny osobistej, naczyń i tym podobnych. Dlatego bardzo ważne jest przestrzeganie zasad higieny osobistej, posiadanie własnych środków higieny osobistej i pod żadnym pozorem nie używanie cudzych.
- Kał – doustnie. Ten typ występuje w wyniku kontaktu z kałem lub wymiocinami. Pierwotniak pasożyta najpierw dostaje się na ręce lub do pożywienia „nowego żywiciela”, a następnie do jego organizmu.
- Z jedzenia. Ten typ występuje w wyniku spożycia skażonej żywności. Mogą to być źle ugotowane ryby lub mięso, nieumyte warzywa i owoce oraz produkty mleczne.
- Transmisyjny. Ten typ występuje w wyniku przeniesienia z zakażonego obiektu podczas ukąszenia, czyli przez ślinę.
Jak się ich pozbyć
Po przeczytaniu artykułu z pewnością pojawia się to pytanie. Zakażenia pasożytami pierwotniakowymi są bardzo częste, dlatego kwestia ich pozbycia się jest niezwykle istotna.
Jak wspomniano wcześniej, gdy pojawią się pierwsze objawy infekcji, należy skonsultować się z lekarzem. Specjalista może przepisać określone testy i badania. Po ich przejściu lekarz postawi dokładną diagnozę. Następnie należy pilnie rozpocząć leczenie. Nie zaleca się także samoleczenia, gdyż to właśnie specjalista może pomóc w postawieniu prawidłowej diagnozy i przepisaniu odpowiedniego leczenia. W większości przypadków lekarze uciekają się do leczenia różnymi lekami, które pomagają wyeliminować pasożyty i przyspieszyć powrót do zdrowia.
W dzisiejszych czasach istnieje wiele różnych dobrych leków, które pomagają w infekcjach pasożytami pierwotniakami. Na rynku dostępna jest ogromna różnorodność leków, co pozwala znaleźć odpowiedni dla konkretnego pacjenta.
Środki zapobiegawcze
Aby nie spotkać się z powyższymi problemami, należy przestrzegać pewnych zasad, a także podejmować środki zapobiegawcze.
Najskuteczniejsze zasady to te, których dzieci uczą się w szkole. Przede wszystkim nie możemy zapominać o dokładnym myciu owoców i warzyw. Można go również ugotować lub obciąć skórkę.
Po drugie, nie można jeść surowych ryb ani niedogotowanego mięsa. Aby całkowicie ugotować produkt, konieczne jest całkowite przygotowanie potrawy, przestrzeganie warunków temperatury i czasu. Należy unikać przypadkowych kontaktów seksualnych. Konieczne jest także poddawanie się regularnym badaniom lekarskim.













